Por A. Milton Bell, DDS

Las radiografías, o rayos X, son una parte integral de la práctica dental. Cuando las radiografías no son de calidad diagnóstica, puede dar lugar a una serie de consecuencias graves. Las radiografías que no revelan enfermedades o patologías existentes son un perjuicio para el paciente. Además, en caso de que un paciente emprenda acciones legales contra un profesional de la odontología que no disponga de radiografías de calidad diagnóstica, el dentista puede enfrentarse a consecuencias legales negativas.
¿Qué constituye un estándar de atención adecuado en lo que respecta a las radiografías dentales?
Parte de esta respuesta implica una comprensión del área de obtención de imágenes. Cuando hay 32 dientes, algunos profesionales consideran que 19 radiografías son una «serie de radiografías de toda la boca». Sin embargo, esto no es necesariamente suficiente. El número de radiografías tomadas debe ser dictado por al menos dos factores:
– ¿Qué dientes están presentes?
– ¿Permiten las radiografías tomadas un diagnóstico completo de todas las áreas que se están estudiando?
Por ejemplo, los estudiantes de odontología suelen tomar una serie incompleta en pacientes nuevos porque «el paciente no tiene ningún diente en esa zona». Sin embargo, aunque falten dientes en un segmento de cualquiera de los maxilares, el paciente puede tener una condición patológica o raíces retenidas. Si no se obtienen imágenes de las partes afectadas de la mandíbula, el diagnóstico y el plan de tratamiento estarán incompletos, y la consulta puede estar sujeta a futuras responsabilidades legales.
Si un paciente es desdentado o le faltan muchos dientes, las radiografías periapicales de los dientes restantes deben complementarse con radiografías de las zonas desdentadas, o una radiografía de tipo panorámico puede completar el examen radiográfico. Si el profesional no dispone de un aparato de radiografías de tipo panorámico, debe realizar radiografías periapicales de todas las zonas de ambos maxilares (una serie de radiografías de toda la boca) para cumplir con las normas legales de atención.
Sin embargo, el simple hecho de realizar el número adecuado de radiografías no cumple con la obligación legal del odontólogo. Las radiografías también deben alcanzar unos estándares de calidad suficientes.
Calidad de las imágenes
Para cumplir con los estándares legales y de calidad asistencial de un consultorio, las radiografías de calidad diagnóstica deben guardarse con los registros de la historia clínica del paciente y conservarse durante el periodo de tiempo establecido por el Consejo de Odontología de la jurisdicción donde se encuentre el consultorio. Las radiografías mal fijadas y lavadas pueden desvanecerse o volverse ilegibles al cabo de un tiempo. En caso de que el profesional sea citado ante una Junta de Odontología para responder a una queja de un paciente, tendrá que mostrar a la Junta todos los registros de los pacientes, las radiografías de calidad diagnóstica y los modelos. En caso de carecer de cualquiera de estos elementos, el dentista será considerado responsable de cualquier queja de los pacientes, y posiblemente estará sujeto a sanciones legales y/o castigos por parte de la Junta de Odontología.
Para lograr esto, el profesional debe tener normas de procedimiento para asegurar que cada radiografía tomada será de calidad diagnóstica. El profesional debe estar familiarizado con los ajustes de los kilovoltios y miliamperios de la máquina de rayos X de acuerdo con las recomendaciones del fabricante. Algunos modelos recientes se autoajustan a las fluctuaciones de la corriente eléctrica. Algunas máquinas tienen que ajustarse a su configuración correcta para registrar la radiografía. Es importante revisar periódicamente las funciones básicas de la máquina de rayos X.
También hay que prestar atención a la química de la película. Asegúrese de que las soluciones de revelado y fijador son viables, y de que existe un lavado adecuado de las radiografías finales según el productor del tipo de película que esté utilizando (normalmente 10 minutos en agua corriente). Existen diferentes tipos de películas que permiten registrar una buena radiografía con un mínimo de exposición a la radiación de rayos X para el paciente. Cambie a un tubo rectangular (Rinn Co.) y utilice una película de tipo F (película dental intraoral Kodak InSight™) para reducir la exposición en un 60 por ciento.

La radiografía dental es una técnica de proyección de sombras. Si la mandíbula del paciente, la película, el tubo y la abertura del tubo no se colocan correctamente, se producirán distorsiones geométricas de la imagen radiográfica.
A menudo damos muchas cosas por sentado. Sin embargo, es prudente estandarizar el equipo que se utiliza, así como la configuración de procesamiento para el manejo adecuado de las películas expuestas. Cuando usted establece su propio consultorio o es empleado para ejercer en un consultorio dental, puede ser legalmente responsable de las radiografías que tome. Además, como titular de una licencia dental, es su responsabilidad familiarizarse con el entorno radiográfico en el que trabaja. Debe asegurarse de lo que va a ocurrir para garantizar un registro satisfactorio de los dientes que está exponiendo a la radiación de rayos X (fotones). Los Consejos de Odontología y la OSHA obligan a cubrir adecuadamente al paciente con un delantal de plomo provisto de un collarín tiroideo.
También es importante tener en cuenta que la repetición de las radiografías expone a los pacientes a una radiación innecesaria.
El clínico tiene que estar lo suficientemente lejos de los haces de radiación o detrás de una pantalla de plomo con una ventana para ver al paciente mientras se pulsa el botón de exposición. El aparato de rayos X está provisto de un tubo que es un colimador (redondo o rectangular), que hace que la radiación se dirija en una pequeña columna hacia la película para reducir la radiación dispersa y minimizar la zona expuesta. Las exposiciones se miden ahora por fracciones de segundo establecidas en el aparato de rayos X, denominadas pulsos, en lugar de cronometrarse en segundos (como se hacía antes). Una serie completa tomada con película rápida expone al paciente a menos radiación que una sola película tomada hace años, antes de la llegada de la película rápida y de las máquinas de rayos X tecnológicamente mejoradas. Este hecho debería ayudarle a responder a las preguntas sobre la exposición a la radiación que suelen hacer los pacientes.
Poniendo una sombra
Podemos utilizar algunas analogías sencillas para explicar qué es lo que hace que la toma de radiografías sea sencilla y predecible. Tomar radiografías es poner una película en la boca del paciente -con o sin un dispositivo de sujeción y un anillo para colocar la cabeza de la radiografía y la cara del tubo- y luego pulsar un botón. Hay algunas reglas básicas muy sencillas que, si se siguen, aumentarán su éxito para registrar radiografías de calidad diagnóstica. El corte de conos es fácil de evitar si entiende lo que está haciendo.
Piense que tomar una radiografía es similar a proyectar una sombra. Si está caminando por una calle oscura hacia una farola, su sombra se alargará detrás de usted. A medida que se acerque a la farola, su sombra empezará a hacerse más pequeña. En algún momento, tu sombra tendrá la misma dimensión que tu altura. Luego, a medida que te acerques a la farola, tu sombra se irá acortando hasta que estés bajo la luz, momento en el que tendrá la dimensión más pequeña. Luego, a medida que sigas pasando por delante de la luz, tu sombra aparecerá delante de ti y empezará a hacerse más grande a medida que te alejes de la fuente de luz, hasta que parezca más grande que la vida.
Los mismos principios explican por qué los médicos pueden obtener radiografías escorzadas o alargadas. El escorzo y el alargamiento de los dientes en una radiografía es el resultado de colocar inadecuadamente la cabeza de la máquina en un ángulo incorrecto, o de colocar la cabeza del paciente de manera que el arco que se irradia no es paralelo al suelo. Esto hace que la «sombra» del diente se proyecte mal en la película. La técnica del cono largo ayuda a evitar estos problemas.
Para proyectar la imagen adecuada en la película:
– La mandíbula que se está radiografiando tiene que estar paralela al suelo.
– La película tiene que colocarse adyacente a los dientes que se están radiografiando.
– El tubo tiene que estar en el ángulo correcto.
– La apertura del tubo tiene que ser paralela a la película.

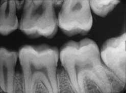
La imagen de arriba muestra los resultados de una angulación vertical incorrecta de la película, lo que resulta en la elongación de las raíces y la visualización inferior del borde de la mandíbula.
Piense en la radiación que emana del tubo como una bala que sale de un rifle. Si la bala se dirige a la parte mesial o distal del diente, el agujero se hará en la dirección en que la bala entra en el diente. Si la bala está perpendicular al diente, el agujero se hará por el centro del diente. Si la cara del tubo es paralela al diente o a los dientes, la radiación fluirá en un patrón perpendicular a través de los dientes. Así es como se debe pensar para evitar la superposición de los dientes y la distorsión que impide la lectura de las películas para la caries u otra patología. Lo ideal es que los haces de radiación se enfoquen perpendicularmente al ángulo que forman el diente (los dientes) y la película.
También es útil visualizar la toma de radiografías como si se estuviera encuadrando una fotografía con una cámara. Qué es lo que desea grabar? Cada película de una serie está destinada a un diente o segmento de dientes concreto. Por lo tanto, usted desea obtener el sujeto principal en el centro de la película, excepto en casos especiales muy raros cuando se busca localizar algo (en endodoncia, por ejemplo).
Colocación de las películas
Hay reglas básicas que deben seguirse para garantizar unas buenas radiografías de diagnóstico. Utilice la silla y el reposacabezas ajustable para colocar al paciente de forma que la arcada que va a filmar esté paralela al suelo.

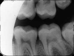
Una angulación horizontal incorrecta hace que los contactos se superpongan. Cuando se angula correctamente, los contactos están abiertos, como se muestra a continuación.
Si se dispone a exponer 19 películas, observará que la fila superior de derecha a izquierda comienza con una película cuspídea nº 6, luego una película lateral derecha y central nº 7 y 8. A continuación, la película central y lateral nº 9 y 10, y luego la película cuspídea nº 11. La colocación de la película para cada una de estas vistas es de suma importancia. Un procedimiento sencillo y rápido es entrenarse en el uso de los portapelículas de espuma de poliestireno. Los anteriores superiores se toman todos en el eje largo de la película. Con el arco paralelo al suelo, comience a colocar el ángulo de la máquina a 45 grados y acérquela al paciente. A continuación, coloque la película en el soporte de espuma de poliestireno frente a la cúspide del nº 6, de modo que el diente quede en el centro de la película y el paciente muerda ligeramente el soporte que coloca la película cerca del paladar.

Colocando un rollo de algodón en el pliegue opuesto al sitio que se está radiografiando podrá ver mejor el diente.
Ahora, acerque el cabezal del aparato de rayos X para que la abertura del tubo esté paralela a la cara de la cúspide y apunte el tubo como una pistola para que la radiación pase perpendicular a la cara del diente y proyecte la sombra en la película de atrás. Dígale al paciente que se quede quieto mientras usted se coloca detrás de su pantalla protectora o se aleja de forma segura de los haces de rayos X, y pulse el botón de pulso.
Repita el proceso para cada una de las tres películas siguientes. Si se han seguido todas las reglas básicas, registrará los dientes designados para cada película con una vista completa de la corona clínica, una vista completa de la raíz y del hueso y tejido circundante, y sin superposición interproximal.
En una serie de 16 radiografías, se incluiría el lateral con el canino, y se tomaría una vista de ambos incisivos centrales. Evitar la superposición dará como resultado una buena vista de los interproximales de todos los dientes anteriores superiores.
Segmentos posteriores

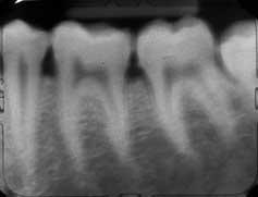
Es importante alinear el patrón de salida del haz con la película para evitar el «corte de cono». Estas dos imágenes muestran cortes de cono causados por la desalineación de conos redondos y rectangulares, respectivamente.
Trate los segmentos posteriores de manera similar mesiodistal. El eje largo de la película se coloca en el soporte de espuma de poliestireno (el lado blanco siempre hacia los dientes) para que la película siga el plano oclusal del arco. Una vez más, la colocación de la película es de suma importancia para obtener radiografías de calidad diagnóstica. No hay excusa para la colocación incorrecta de las películas en el arco por el clínico.

Tampoco hay razón para que el paciente tenga arcadas. Hay dos centros de náuseas. Uno está situado en la parte posterior de la faringe; obviamente el paquete de película no está cerca de esta zona. El segundo «centro de náuseas» está en la cabeza del paciente… es una función de la ansiedad del paciente, no un desencadenante físico. Por lo tanto, realice la tarea de forma positiva, tranquilizadora y competente para ayudar al paciente a relajarse. Antes de empezar a colocar la película, explique lo que va a hacer y por qué necesita la cooperación del paciente. Además, pida al paciente que respire con fuerza. Respirar con fuerza interfiere con los reflejos nauseosos del paciente. Trabajando con rapidez y destreza, coloque el cabezal de la máquina de rayos X cerca de la cabeza del paciente para agilizar el procedimiento.
En cada segmento posterior, tanto si se toma una vista periapical como una aleta de mordida de los bicúspides y molares, la colocación de la película es la siguiente:
– Para la vista bicúspide, la película se coloca en el arco con el mesial de la película apenas tocando el distal del cúspide, si está presente. La vista bicúspide incorporará una vista completa de la región del primer molar también. En el maxilar superior, el ángulo del cabezal de la radiografía se preestablece entre 30 y 35 grados y la cara del tubo es paralela a la región bicúspide-primer molar. Una vez colocada la película como se ha descrito, se debe apuntar la cara del tubo como un rifle para que el haz pase por la cara de los dientes que se están radiografiando, sin solapar los interproximales y evitando el corte del cono. En realidad, debe determinar que la cara abierta del tubo sea paralela al premolar y al primer molar, y que toda la película esté dentro de los parámetros del tubo abierto. Con la práctica, este procedimiento no debería tardar más de cinco a diez segundos.
– La correcta toma de imágenes de la vista molar en el arco depende de la colocación de la película frente a la zona del tercer molar. Esto se hace de una manera similar a la que se utiliza para la vista bicúspide, excepto que el mesial de la película como se coloca en la boca debe estar en el centro del primer molar. El paciente muerde ligeramente el soporte de espuma de poliestireno. El ángulo del cabezal de la radiografía se fija en 20 a 25 grados en la arcada superior. Una vez más, es importante desarrollar la capacidad de llevar la cara del tubo en paralelo a los segundos y terceros molares y apuntar el tubo para enviar los haces perpendiculares a la película para evitar la superposición. Si la película se ve completamente dentro de la cara del tubo, evitarás el corte del cono y la distorsión interproximal. Esto le proporciona una visión clara de la zona del segundo y tercer molar, la mitad distal del primer molar y el hueso y los tejidos blandos circundantes.
Los errores más comunes que se observan son la superposición de los bicúspides en la vista cuspide. Esto ocurre porque la película no ha sido colocada con el cuspide en el medio de la película, y la cabeza de la radiografía es girada de modo que el rayo está proyectando la sombra del distal a través de los bicúspides sobre el cuspide, o porque el rayo está proyectando la sombra del mesial a través del cuspide superponiéndose sobre los bicúspides. Recuerde que está apuntando el rayo como un rifle, y el rayo es una bala que debe pasar por la cara del diente o los dientes que quiere radiografiar. La cara abierta del tubo debe estar paralela a la cara o caras de los dientes que se están radiografiando.
Arco inferior
Cuando se toman radiografías en el arco inferior, el arco debe estar paralelo al suelo. Es muy difícil tomar buenas radiografías cuando el paciente está en una posición reclinada. En cambio, siempre hay que sentar al paciente en posición vertical para facilitar la colocación de la arcada que se está radiografiando de manera que quede paralela al suelo.
Coloque las películas en el soporte de espuma de poliestireno y coloque las películas frente a los dientes que se van a ver para la radiografía de bicúspides y molares. Preajuste el ángulo del cabezal de rayos X a -10 grados para la vista bicúspide y -5 grados para la vista molar, siguiendo la misma técnica descrita para la arcada superior. Las películas de aleta de mordida se colocan en los portapelículas y se colocan de manera similar para la vista bicúspide y luego para la vista molar, y el ángulo del cabezal se establece entre 5 y 10 grados.
Ocasionalmente, durante las radiografías de la arcada inferior, las esquinas de la película se sienten como si estuvieran cavando en los tejidos sensibles del suelo de la boca del paciente. Hay dos maneras de solucionar esto. Puede elegir un paquete de película con un borde acolchado, como los paquetes Kodak SureSoft™. También es útil conseguir que el paciente se relaje porque el suelo de la boca será más flexible y se acomodará al paquete de película con más facilidad.
Uno de los errores más comunes se debe a la incorrecta colocación de las películas en el arco a radiografiar. Frecuentemente vemos radiografías montadas en las regiones posteriores donde las vistas del bicúspide y del molar son idénticas, o falta el incisivo lateral y central derecho, y hay dos vistas de los dos incisivos centrales. La colocación de la película es de suma importancia para el índice de éxito de las películas de calidad diagnóstica. Si no se colocan las películas en la posición correcta, la sombra se proyectará sólo sobre aquellos dientes que estén delante de la película mal colocada.

El movimiento del paciente puede provocar una imagen borrosa de la película radiográfica. Utilice un reposacabezas para ayudar a estabilizar la cabeza del paciente durante la colocación de la película y la exposición.
De forma similar, si el cabezal de la máquina de rayos X está orientado distalmente o mesialmente en lugar de paralelamente a la película o a la cara media del diente o dientes, el resultado será la superposición, el corte del cono y la falta de partes de los dientes necesarias para un diagnóstico adecuado. El borde de la película que sostiene el soporte de espuma de poliestireno debe seguir el plano oclusal. Si la película está torcida, el resultado será una radiografía mal posicionada.
Anteriores inferiores
Los anteriores inferiores siguen la misma técnica de proyectar una sombra sobre la película. Los cuatro anteriores deben ser grabados en una sola película. Coloque el extremo corto de la película en el soporte de espuma de poliestireno. Anime al paciente a relajarse para que pueda colocar la película con comodidad. Lleve suavemente la película frente a los cuatro dientes anteriores mientras hace que el paciente muerda suavemente el soporte. Esto relaja los músculos del suelo de la boca y minimiza la incomodidad de la colocación de la película.
El cabezal de rayos X debería haberse ajustado a -15 grados y haberse acercado a la cabeza del paciente. El arco debe estar paralelo al suelo cuando el paciente muerda el soporte. Apunte el tubo para que el haz pase por los cuatro incisivos inferiores perpendicularmente a la película y a las caras de los dientes. El uso del soporte asegura el registro de la vista completa de los incisivos y los ápices de los dientes.
Las angulaciones del cabezal de rayos X que se indican aquí son promedios. Debe consultar el manual del fabricante del equipo para conocer las angulaciones más exactas recomendadas para la radiografía que se está utilizando.
La vista del canino también se toma a -15 grados. A estas alturas, usted ha adquirido experiencia en acercar eficazmente el cabezal del equipo a la cabeza del paciente, colocando la película de forma que el canino quede en el centro de la misma, y apuntando el tubo de forma que el haz pase por el centro del diente. Así se completa la serie periapical de toda la boca.
Practique estas técnicas básicas y su capacidad para tomar radiografías de calidad diagnóstica mejorará. Igual de importante, su responsabilidad legal ante el paciente se verá reforzada, de modo que tendrá la protección de unos registros adecuados que mostrar en caso de que sea objeto de una reclamación por parte del paciente.
Para obtener otras fuentes de información sobre la obtención de radiografías de buena calidad para el diagnóstico, visite el sitio web de Kodak Dental Products en www.kodak.com/go/dental y haga clic en «Publications», o llame al (800) 933-8031.
A. Milton Bell, DDS, es profesor clínico en el departamento de prótesis y estudios oclusales de la Facultad de Odontología de la Universidad de Nueva York, así como instructor internacional de formación continua. Ha sido monitor de garantía de calidad bajo la jurisdicción de la Oficina del Fiscal General de Nueva Jersey, Departamento de Derecho y Seguridad Pública. Es miembro de la Asociación Americana de Examinadores Dentales y es examinador de la Junta Regional del Noreste de Examinadores Dentales.